مراكز تجميل الأسنان في سوريا تعتبر اليوم الوجهة الأولى في المنطقة لمن يبحث عن الجمع بين الجودة الفائقة والاحترافية العالية والأسعار المنافسة . بفضل وجود أفضل أطباء الأسنان في سوريا والاعتماد الكلي على أحدث مختبرات الأسنان الرقمية في سوريا، تحولت سوريا بمحافظتيها دمشق وحلب إلى مراكز استقطاب عالمية للسياحة العلاجية الطبية. نحن في شام للسياحة العلاجية، نأخذ على عاتقنا مرافقتك في كافة تفاصيل رحلتك العلاجية لضمان وصولك إلى أفضل مراكز تجميل الأسنان في سوريا، مع توفير أعلى المعايير الطبية وبأقل التكاليف الممكنة لعام 2026.
جدول المحتويات
لماذا تختار علاج الأسنان في سوريا عبر “شام للسياحة العلاجية”؟
البحث عن أفضل دكتور اسنان في سوريا قد يكون محيراً نظراً لكثرة الخيارات، لكن مع “شام للسياحة العلاجية في سوريا” نحن نختصر عليك الطريق والجهد. نوفر لك وصولاً حصرياً إلى مراكز طب الأسنان في سوريا سواء في دمشق أو حلب المجهزة بأحدث التقنيات العالمية لعام 2026، مع ضمان أعلى مستويات التعقيم والدقة الطبية.

خدماتنا اللوجستية والترفيهية (قائمة خدمات شام للسياحة العلاجية):
- الاستشارة الأولية: تقييم دقيق للحالة عن بُعد عبر صور الأشعة وربطك مع أفضل دكتور تجميل أسنان في سوريا.
- الاستقبال والتوديع: تأمين كافة خدمات النقل المريحة من وإلى المطار والمعابر الحدودية بفلتر خاص لعملاء “شام”.
- الإقامة الفندقية: حجز أرقى الفنادق والأجنحة الفاخرة القريبة من مراكز تجميل الأسنان في سوريا .
- المرافق الطبي: (اختياري )تأمين مرافق متخصص يسهل لك كافة إجراءات التواصل والحجز داخل مراكز طب الأسنان في دمشق وحلب.
- البرامج والجولات السياحية: (ميزتنا الإضافية) تنظيم رحلات ترفيهية مميزة تشمل زيارة معالم دمشق القديمة، الأسواق التراثية، والمناطق الاصطيافية، لنجعل من رحلة علاجك نزهة لا تُنسى.
- الترجمة والوثائق: توفير كافة التقارير الطبية والفواتير والوثائق اللازمة والموثقة بعد انتهاء فترة العلاج.
زراعة الأسنان في سوريا – مراكز زراعة الأسنان في سوريا
إذا كنت تتساءل كم تكلفة زراعة الأسنان، فإن سوريا توفر أسعاراً تنافسية جداً. نحن نتعامل مع أفضل مراكز زراعة الأسنان الفورية في سوريا لنضمن لك استعادة أسنانك في وقت قياسي من خلال طبيب لزراعة الاسنان الفورية في سوريا يمتلك خبرة عالمية.

تكلفة زراعة الأسنان في سوريا 2026
تعتمد أنواع زراعة الأسنان واسعارها في سوريا على منشأ الزرعة:
| نوع الزرعة | السعر بالدولار ($) | ملاحظات |
| الزرعات الكورية | 175$ | جودة عالية وسعر اقتصادي |
| الزرعات الإيطالية | 250$ | دقة أوروبية |
| الزرعات الأمريكية | 350$ | أعلى معايير الجودة العالمية |
| تعويض فك كامل | يبدأ من 700$ | يختلف حسب نوع التعويض المختار |
“كافة الأسعار الواردة في الجداول أعلاه دليلاً استرشادياً للأسعار، وللحصول على عرض سعر دقيق يناسب حالتكم، تواصلوا مع فريق شام للسياحة العلاجية لتنسيق استشارة أولية مع المختصين.”
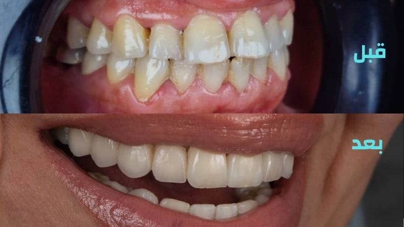
ابتسامة هوليود وتجميل الأسنان (فينير وزيركون) في سوريا
يبحث الكثيرون من الراغبين في التميز عن تكلفة ابتسامة هوليود في سوريا بالدولار للحصول على ذلك المظهر الجذاب الذي يشبه مظهر النجوم، وهنا يأتي دورنا في “شام للسياحة العلاجية” لنضع بين يديك أفضل الخيارات. سواء كنت ترغب في تركيب فينير الاسنان في سوريا للحصول على بياض ناصع، أو تبحث عن أدق تفاصيل عدسات الأسنان الفينير في سوريا التي تمنحك مظهراً طبيعياً جداً، فإننا نوصلك مباشرة بـ أفضل أطباء تجميل أسنان في سوريا.

لا يقتصر الأمر على العدسات فقط، بل تبرز أسعار أسنان زيركون في سوريا كخيار مثالي لمن يبحث عن الصلابة والجمال معاً، حيث نوفر لك أسعار تلبيس الأسنان الزيركون في سوريا بتكاليف لا تقبل المنافسة. كما تتوفر لدينا تقنيات ابتسامة هوليود ايماكس (E-max) سوريا، وهي الأحدث عالمياً لضمان شفافية وجمالية لا تضاهى. إذا كنت تبحث عن تجميل الأسنان في سوريا وتحديداً تلبيس أسنان امامية، فإننا نضمن لك التعامل مع أفضل دكتور تجميل أسنان في سوريا يستخدم أرقى المواد لضمان ديمومة نتيجتك.
علاوة على ذلك، يمكنك الاستفادة من عروض ابتسامة هوليود في دمشق التي تشمل أيضاً خدمات تبييض الأسنان في سوريا وتكلفة تبييض الأسنان بالليزر في سوريا لمن يرغب في إجراءات سريعة وفعالة. إن اختيارك لـ فينير الاسنان في سوريا عبر “شام” يعني حصولك على أعلى جودة تحت إشراف أفضل دكتور تجميل أسنان في سوريا، مع ضمان الحصول على أسعار الزيركون في سوريا التي تناسب ميزانيتك لعام 2026.
أسعار تجميل وتلبيس الأسنان 2026 |مراكز تجميل الأسنان في سوريا
تتوفر لدينا عروض ابتسامة هوليود في دمشق تشمل أنواعاً فاخرة مثل ابتسامة هوليود ايماكس (E-max) سوريا:
| نوع التلبيس / العدسة | السعر للقطعة ($) | الاستخدام |
| قطعة الزيركون | 60$ | تلبيس الأسنان الأمامية بالزركون |
| قطعة الفينير E-max | 70$ | تجميل فائق الجودة |
| قطعة الليمونير | 80$ | عدسات رقيقة جداً |
| تبييض الأسنان بالليزر | يبدأ من 50$ | نتائج فورية في جلسة واحدة |
“الأسعار أعلاه تقريبية وتعتمد على الحالة؛ تواصلوا معنا في شام للسياحة العلاجية لتقييم حالتكم بدقة.”
تقويم الأسنان في سوريا2026 – أفضل مراكز تجميل الأسنان في سوريا
تضم افضل مراكز تقويم الأسنان في دمشق اليوم تقنيات حديثة جداً تضاهي المراكز العالمية، حيث يسعى الكثير من المرضى والزوار لمعرفة سعر التقويم الشفاف في سوريا كونه الحل التجميلي الأفضل والأسلوب الأكثر راحة لتعديل اصطفاف الأسنان دون إحراج. بتنسيقنا في “شام للسياحة العلاجية” مع أفضل طبيب تقويم أسنان في دمشق، نضمن لك الحصول على خطة علاجية مثالية تعيد لك الثقة بابتسامتك.
لا يقتصر التميز على العاصمة فحسب، بل تمتد خدماتنا لتشمل مراكز تجميل الأسنان في حلب، والتي تشتهر بكوادرها الطبية العريقة وخبرتها الطويلة في معالجة الحالات المعقدة. سواء كنت تبحث عن تكلفة تقويم الأسنان في سوريا للأنواع المعدنية التقليدية أو كنت ترغب في معرفة تكلفة التقويم الشفاف في سوريا، فإننا نوفر لك كافة المعلومات والخيارات المتاحة.
نحن في “شام” ندرك أن رحلة البحث عن أفضل مراكز تقويم الأسنان في دمشق قد تكون مرهقة، لذا قمنا بفلترة الخيارات لنضع بين يديك فقط المراكز التي تستخدم أحدث أجهزة التصوير ثلاثي الأبعاد والماسحات الرقمية. إن علاج الأسنان في سوريا عبر شركائنا يضمن لك متابعة دورية دقيقة، حتى لو كنت خارج البلاد، من خلال بروتوكولات المتابعة عن بُعد التي توفرها مراكز تجميل الأسنان في سوريا لضمان أفضل النتائج بأقصر وقت ممكن.
أسعار علاج وتصليح الأسنان في سوريا 2026
نحن في “شام للسياحة العلاجية” ندرك أن الحصول على ابتسامة جميلة يبدأ من أساس صحي، لذا نوفر عبر شركائنا أسعار علاج الأسنان في سوريا لتكون في متناول الجميع مع ضمان أعلى جودة طبية. تشمل خدماتنا الوصول إلى نخبة من أطباء اسنان في دمشق وحلب المتخصصين في كافة العلاجات الترميمية، بدءاً من أسعار معالجة الأسنان في سوريا التقليدية وصولاً إلى العمليات الجراحية المعقدة.

إذا كنت تبحث عن أسعار تصليح الأسنان في سوريا 2026، فإن مراكزنا الشريكة تقدم حلولاً متكاملة تشمل الحشوات الضوئية التجميلية، ومعالجة العصب بأحدث الأجهزة الإلكترونية، بالإضافة إلى أسعار تلبيس الأسنان الزيركون في سوريا للأسنان المتضررة. كما نسهل لك التواصل مع أفضل أطباء الأسنان في دمشق وحلب لإجراء فحص شامل ووضع خطة علاجية دقيقة، مع إمكانية الحصول على أرقام هواتف أطباء الأسنان في دمشق وحلب لتنسيق المواعيد عبر فريقنا اللوجستي.
تتضمن أسعار معالجة الأسنان في سوريا لدى مراكزنا المتعاقد معها خيارات متنوعة تناسب كافة الميزانيات، حيث يمكنك الاستفسار عن أنواع تلبيسات الأسنان واسعارها في سوريا 2026، بما في ذلك تلبيس الأسنان الأمامية بالزركون لضمان المتانة والجمالية في آن واحد. بفضل تعاوننا مع أفضل أطباء الأسنان في سوريا، نضمن لك أن تكون تكلفة تلبيس الأسنان في سوريا وجميع المعالجات الأخرى شفافة ومدروسة، مما يجعل من علاج الأسنان في سوريا تجربة موفرة وناجحة بكل المقاييس الطبية.
جدول أسعار علاج الأسنان في سوريا
| الخدمة العلاجية | السعر ($) |
| الحشوة الضوئية | 25$ |
| معالجة العصب | تبدأ من 30$ |
| تبييض الأسنان | يبدأ من 50$ |
الأسئلة الشائعة حول مراكز تجميل الأسنان في سوريا
ما هي أفضل مراكز تجميل الأسنان في سوريا لعام 2026؟
تعتبر أفضل مراكز تجميل الأسنان في سوريا هي تلك التي تدمج بين الخبرة الطبية والتقنيات الرقمية الحديثة. نحن في شام للسياحة العلاجية نتعامل حصرياً مع المراكز التي تضم أفضل أطباء الأسنان في سوريا لضمان نتائج مثالية لعملائنا.
كم تبلغ تكلفة زراعة الأسنان في سوريا 2026؟
تتفاوت تكلفة زراعة الأسنان في سوريا حسب نوع الزرعة؛ حيث تبدأ الزرعات الكورية من 175$، والإيطالية من 250$، والأمريكية من 350$. توفر شام للسياحة العلاجية باقات تشمل الإقامة والنقل لتوفير أكبر قدر من التكاليف على المرضى القادمين من الخارج.
هل تتوفر خدمات زراعة الأسنان الفورية في سوريا؟
نعم، تضم سوريا أفضل مراكز زراعة الأسنان الفورية في سوريا التي تتيح تركيب الأسنان خلال أيام قليلة. لدينابـ أفضل أطباء زراعة أسنان في سوريا متخصصين في الحالات الفورية لضمان سرعة العلاج ودقته.
ما هي مميزات الحصول على ابتسامة هوليود عبر شام للسياحة العلاجية؟
عند اختيارك لـ تجميل الأسنان في سوريا عبر شام، ستحصل على خدمات لوجستية متكاملة تشمل الاستقبال، الإقامة، وجولات سياحية، بالإضافة إلى ضمان الوصول إلى أفضل أطباء تجميل الأسنان في سوريا بأسعار منافسة تبدأ من 70$ لعدسات الـ E-max.
خاتمة | ابدأ رحلة التغيير مع أفضل مراكز تجميل الأسنان في سوريا
في الختام، يمثل علاج الأسنان في سوريا لعام 2026 التوازن المثالي بين التكلفة الاقتصادية والجودة الطبية العالمية. سواء كانت رغبتك هي الحصول على ابتسامة هوليود ايماكس (E-max) سوريا، أو كنت تبحث عن أفضل دكتور زراعة أسنان في سوريا لتعويض أسنانك المفقودة، فإن الخيارات المتاحة تلبي كافة الطموحات.
نحن في شام للسياحة العلاجية، نفخر بأننا جسر العبور الموثوق بينك وبين أفضل مراكز تجميل الأسنان في سوريا. نحن لا نوفر لك العلاج فحسب، بل نصمم لك تجربة سياحية وعلاجية متكاملة تبدأ من لحظة وصولك وتستمر حتى مغادرتك بابتسامة أحلامك. لا تتردد في البحث عن الجودة والراحة مع أفضل أطباء الأسنان في سوريا تحت إشراف فريقنا المتخصص.
هل أنت مستعد لابتسامة جديدة؟ تواصل مع مستشاري شام للسياحة العلاجية اليوم للحصول على استشارة أولية مجانية ومعرفة تكلفة ابتسامة هوليود في سوريا بالدولار بما يتناسب مع حالتك الخاصة. نحن هنا لنجعل من رحلتك العلاجية قصة نجاح لا تُنسى.
“المحتوى الطبي تحت إشراف الدكتور [وسيم محمود طاوش]، اختصاصي طب أسنان.”


