فينير الأسنان في سوريا هو الخيار الأول لكل من يبحث عن ابتسامة مثالية تجمع بين الدقة الطبية واللمسة الجمالية الاحترافية. ومع تزايد الإقبال على تجميل الابتسامة، يبرز التساؤل الأهم لدى الكثيرين: كم تكلفة فينير الأسنان في سوريا؟ وهل تختلف أسعار الفينير في سوريا بحسب جودة المواد المستخدمة؟
جدول المحتويات
نحن في شام للسياحة العلاجية في سوريا، ندرك أن رحلتك للبحث عن الابتسامة المثالية تبدأ من الثقة والشفافية؛ لذا نحرص على تقديم خدمات متكاملة تبدأ من الاستشارة المجانية وتصل إلى أرقى مستويات التنفيذ الطبي. إن تكلفة الفينير في سوريا لدينا تعتبر الأكثر تنافسية، حيث نوفر لك أحدث تقنيات العدسات العالمية بأسعار مدروسة. وسواء كنت تستفسر عن تكلفة أسنان الفينير في سوريا للعدسات الثابتة، أو تود معرفة تكلفة الفينير المتحرك في سوريا كحل سريع، فإننا نضمن لك تجربة علاجية مريحة تجمع بين الطب والسياحة في قلب دمشق، مع تقديم تفاصيل دقيقة حول اسعار الفينير في سوريا لعام 2026 لتختار ما يناسب تطلعاتك وميزانيتك.
ما هو فينير الأسنان؟ (الجانب العلمي والجمالي)
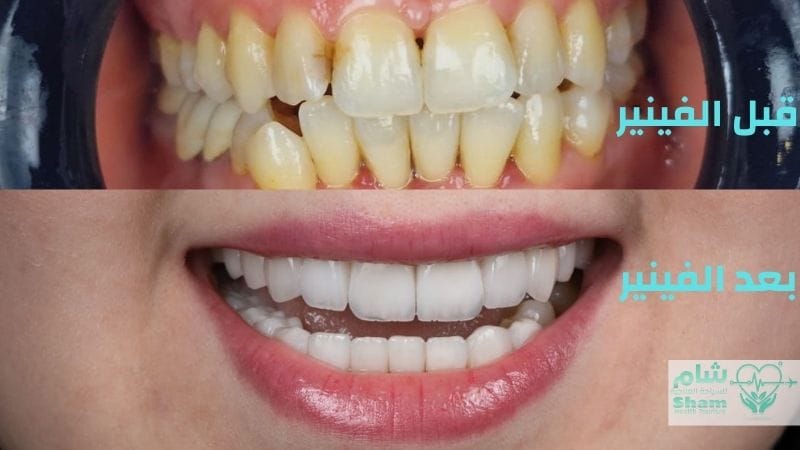
فينير الأسنان (Dental Veneers)، أو ما يعرف بـ “عدسات الأسنان”، هو عبارة عن قشور رقيقة جداً ومصممة خصيصاً لتغطية السطح الأمامي للأسنان لتحسين مظهرها. تُصنع هذه القشور من مواد خزفية متطورة مثل الإيماكس (E-Max) أو البورسلين، وتتميز بقدرتها الفائقة على محاكاة خصائص مينا الأسنان الطبيعية من حيث الشفافية واللمعان.
الهدف الأساسي من الفينير ليس تجميلياً فحسب، بل هو حل طبي متكامل لعلاج تصبغات الأسنان المستعصية، ترميم الكسور البسيطة، إغلاق الفراغات (الديستيما)، وتصحيح ازدحام الأسنان الطفيف. ما يميز الفينير الحديث هو قدرته على منحك “ابتسامة هوليوود” التي تدوم لسنوات طويلة دون أن يتغير لونها بفعل القهوة أو التدخين، مع الحفاظ على بنية السن الطبيعية قدر الإمكان.

أنواع فينير الأسنان المستخدمة في سوريا
في شام للسياحة العلاجية في سوريا، نحرص على استخدام أجود المواد العالمية التي تضمن ديمومة الابتسامة وطبيعيتها. تختلف الأنواع بناءً على المادة والميزانية والنتيجة المطلوبة، وإليك أبرزها:
- فينير الإيماكس (E-Max): يعتبر الخيار الأرقى والأكثر متانة، حيث يتميز بشفافية عالية تشبه الأسنان الطبيعية تماماً.
- اللومينير (Lumineers): عدسات فائقة الرقة لا تتطلب برداً كبيراً للأسنان، وهي مثالية لمن يبحث عن تعديلات طفيفة دون المساس بمينا السنان.
- الفينير الخزفي (Porcelain): يتميز بمقاومته العالية للتصبغات الناتجة عن القهوة والتدخين.
- الكمبوزيت فينير: الخيار الاقتصادي السريع، يتم تطبيقه مباشرة في العيادة، وهو ما يُعرف أحياناً ضمن باقات تكلفة الفينير المتحرك في سوريا (سناب أون سمايل) أو القشور المباشرة.
فينير الأسنان في سوريا: أيها الأنسب لك؟
في شام للسياحة العلاجية في سوريا، نعتمد على معايير دقيقة لاختيار نوع العدسات، حيث لا تقتصر المفاضلة على الشكل فقط، بل على حالة الإطباق وقوة الأسنان الطبيعية.
جدول مقارنة: أنواع عدسات الفينير والمدة الزمنية
| نوع الفينير | الفئة الأكثر تناسباً | المدة الزمنية للتنفيذ | العمر الافتراضي المتوقع |
| إيماكس (E-Max) | لمن يعانون من تصبغات قوية أو يبحثون عن مظهر طبيعي فائق. | 4 – 6 أيام عمل | 10 – 15 سنة |
| اللومينير (Lumineers) | لمن لديهم أسنان منتظمة ويرفضون فكرة “برد” المينا. | 5 – 7 أيام عمل | 15 – 20 سنة |
| الكمبوزيت فينير | للراغبين في تعديل فوري واقتصادي في جلسة واحدة. | جلسة واحدة (يوم واحد) | 5 – 7 سنوات |
| الفينير المتحرك | لمن يبحث عن ابتسامة للمناسبات دون إجراء طبي دائم. | 2 – 3 أيام عمل | حسب الاستخدام |
“تعتبر عدسات الفينير حلاً طبياً معتمداً عالمياً لتجميل الأسنان، ويمكنك الاطلاع على المواصفات الفنية لهذه العدسات في مراجع دولية مثل .”WebMD وموقع Cleveland Clinic

تكلفة فينير الأسنان في سوريا: جودة عالمية بأسعار منطقية
تعتبر تكلفة أسنان الفينير في سوريا واحدة من أهم المزايا التي تجذب الباحثين عن الابتسامة المثالية من مختلف أنحاء العالم. السر في انخفاض التكلفة لا يعود أبداً إلى جودة المواد المستخدمة، بل إلى انخفاض التكاليف التشغيلية والأجور الطبية في سوريا مقارنة بدول الجوار وأوروبا، مما يسمح للمريض بالحصول على أفخم أنواع العدسات السويسرية والألمانية بجزء بسيط من تكلفتها العالمية.
نصيحة من “شام للسياحة العلاجية”:
لا تنجرف خلف اسعار الفينير في سوريا الزهيدة جداً بشكل مبالغ فيه؛ فجودة اللاصق الطبي (Bonding) وخبرة الطبيب في تصميم الابتسامة رقمياً (DSD) هي ما يمنع سقوط العدسات أو حدوث التهابات في اللثة مستقبلاً.
نحن في شام للسياحة العلاجية في سوريا، نؤمن بالشفافية المطلقة؛ لذا تعتمد خطتنا السعرية على عدة عوامل تضمن لك الحصول على أفضل قيمة مقابل ما تدفعه، ومنها:
- نوع المادة المختارة: سواء كانت إيماكس (E-Max) فائقة الشفافية أو اللومينير الرقيق.
- عدد العدسات المطلوبة: حيث نوفر باقات خاصة وحصريّة لتجميل الفكين كاملاً (ابتسامة هوليوود).
- الحالة الصحية للأسنان: وما قد تتطلبه من تحضيرات استباقية لضمان ثبات الفينير لسنوات طويلة.
إن اختيارك لإجراء فينير الأسنان في سوريا عبر مركزنا يضمن لك توفيراً مالياً كبيراً يغطي كافة تكاليف سفرك وإقامتك الفندقية، مع الحصول على ضمان طبي حقيقي وجودة تضاهي أرقى العيادات العالمية. نحن ندعوك للتواصل معنا مباشرة للحصول على عرض سعر مخصص لحالتك بدقة، بعد معاينة صور أسنانك من قبل فريقنا الطبي المختص.
ما الذي يجعل سوريا وجهتك المثالية لتركيب فينير الأسنان
السؤال الذي يطرحه الكثير من المرضى في المنطقة العربية: لماذا أصبح “فينير الأسنان في سوريا” هو الخيار الأول حالياً؟
القيمة العلمية والمهارة السورية
طب الأسنان في سوريا ليس مجرد مهنة، بل هو إرث أكاديمي عريق. يتميز الأطباء السوريون بدمج “العلم بالطب” مع “الحس الفني”، حيث لا يتم تركيب العدسات بشكل آلي، بل يتم نحتها وتصميمها لتتناسب مع قياسات الوجه، ولون البشرة، وحتى شكل الشفاه، مما يمنح المريض ما نسميه “الابتسامة الطبيعية” بعيداً عن مظهر الأسنان الاصطناعية البارزة.
توفر أحدث الخامات العالمية
على الرغم من الاعتقاد السائد بصعوبة استيراد المواد، إلا أن المراكز الكبرى التي تتعامل معها شام للسياحة العلاجية تستخدم حصرياً خامات من كبرى الشركات العالمية (مثل Ivoclar Vivadent السويسرية). هذا يعني أنك تحصل في دمشق على نفس جودة “عدسات الإيماكس” التي قد تحصل عليها في ألمانيا أو أمريكا، ولكن بلمسة الطبيب السوري المعروف بمهارته اليدوية الفائقة.
البيئة التنافسية والخدمات المضافة
في سوريا، المنافسة بين عيادات التجميل أدت إلى رفع سقف الجودة إلى مستويات قياسية. هذا التنافس يصب في مصلحة المريض، حيث تسعى المراكز لتوفير أحدث أجهزة الأشعة ثلاثية الأبعاد وصبات الـ CAD/CAM الرقمية. بالإضافة إلى ذلك، فإن انخفاض التكاليف التشغيلية في سوريا يسمح للمراكز بتقديم خدمات فاخرة (VIP) للمرضى القادمين من الخارج بتكلفة لا تُذكر مقارنة بدول الجوار.
التوقيت الذهبي للزيارة
في عام 2026، شهدت سوريا استقراراً كبيراً في قطاع الخدمات الطبية، وأصبحت دمشق تستقبل يومياً رحلات علاجية من الخليج وأوروبا. اختيارك لـتركيب فينير الأسنان في سوريا في هذا التوقيت يعني استفادتك من بنية تحتية طبية متطورة، وأسعار هي الأفضل عالمياً مقابل الجودة المقدمة، تحت إشراف وتنسيق كامل من فريقنا في شام للسياحة العلاجية.

لماذا يختار المرضى “شام للسياحة العلاجية” في سوريا؟
إن قرار السفر لإجراء تجميل الأسنان يتطلب شريكاً موثوقاً يضمن لك الجودة والراحة بعيداً عن وطنك. نحن في شام للسياحة العلاجية (Sham Health)، استطعنا بناء جسر من الثقة مع مرضانا من مختلف أنحاء العالم العربي والمهجر، وذلك بفضل استراتيجيتنا التي تركز على التفاصيل الدقيقة:
1. النخبة الطبية واليد الفنية
لا نعتمد في مراكزنا إلا على أطباء أسنان مختصين يمتلكون باعاً طويلاً في “فن نحت الابتسامة”. الطبيب السوري معروف عالمياً بدقته الأكاديمية وحرصه على النتيجة الطبيعية التي تناسب ملامح الوجه، بعيداً عن الشكل الاصطناعي، مما يضمن لك ابتسامة متناغمة وفريدة.
2. التكنولوجيا الرقمية المتطورة
نحن لا نترك شيئاً للصدفة؛ حيث نستخدم تقنية Digital Smile Design (DSD) التي تتيح لك رؤية النتيجة النهائية لابتسامتك على شاشة الكمبيوتر قبل أن نبدأ ببرد أو تركيب أي سن. كما نتعاون مع مختبرات رقمية تستخدم تقنية CAD/CAM لضمان دقة العدسات بنسبة 100% وتطابقها التام مع خط اللثة.
3. باقات السياحة العلاجية المتكاملة
نحن في شام للسياحة العلاجية لا نقدم علاجاً فقط، بل نقدم تجربة استثنائية. خدماتنا تبدأ من لحظة وصولك للمطار، حيث نوفر لك:
- الاستقبال والنقل: بسيارات حديثة ومريحة.
- الإقامة الفندقية: ترتيب أفضل الفنادق القريبة من المراكز الطبية.
- المرافقة والترجمة: فريق متخصص يرافقك في كافة مراحل علاج الأسنان في سوريا .
- الجولات السياحية: فرصة لا تُعوض لاستكشاف سحر دمشق القديمة وأسواقها التاريخية أثناء فترة انتظار تجهيز العدسات.
4. الضمان الذهبي والجودة المستدامة
نحن نثق في المواد التي نستخدمها، سواء كانت إيماكس (E-max) أو لومينير أصلي؛ لذا نقدم لمرضانا ضمانات حقيقية على جودة التركيب وثبات اللون. هدفنا ليس فقط أن تحصل على ابتسامة جميلة ليوم واحد، بل أن تدوم معك هذه الابتسامة كاستثمار طويل الأمد في جمالك وصحتك.
5. التوازن المثالي بين السعر والجودة
بينما ترتفع تكاليف تجميل الأسنان بشكل جنوني عالمياً، تظل سوريا محافظة على معادلة “الجودة العالمية بالتكلفة المنطقية”. من خلال شام للسياحة العلاجية، ستحصل على خدمة تضاهي أرقى عيادات دبي أو لندن، ولكن بتوفير مالي قد يصل إلى 60%، مما يغطي كافة تكاليف سفرك وإقامتك ويزيد.
الأسئلة الشائعة
ما هي عدسات الفينير؟
عدسات الفينير هي قشور رقيقة جداً ومقاومة للتصبغ، تُصنع من مواد خزفية عالية الجودة (مثل الإيماكس). يتم تركيبها على السطح الأمامي للسن لتعديل لونه، شكله، أو حجمه، مما يمنحك ابتسامة متناسقة وطبيعية تماماً.
هل تحتاج عدسات الفينير إلى برد الأسنان؟
يعتمد ذلك على نوع العدسات وحالة الأسنان؛ فالفينير التقليدي يتطلب برداً بسيطاً جداً (حوالي 0.5 ملم) من طبقة المينا لضمان ثبات العدسة. أما في حالات “اللومينير”، فغالباً ما يتم التركيب بدون برد نهائياً أو ببرد طفيف جداً لا يذكر.
كم تكون ديمومة عدسات الفينير؟
تعتبر عدسات الفينير حلاً طويل الأمد؛ فإذا تمت العناية بها بشكل جيد والالتزام بنصائح أطبائنا في شام هيلث، يمكن أن تدوم من 10 إلى 15 عاماً وأكثر، دون أن يتغير لونها أو تفقد لمعانها.
هل يمكن اختيار لون معين للأسنان؟
بكل تأكيد. نحن نوفر طيفاً واسعاً من درجات البياض، بدءاً من الأبيض الطبيعي جداً الذي يناسب ملامح الوجه، وصولاً إلى درجات “بليتش” (Bleach) الأكثر سطوعاً، ويتم اختيار اللون بالتشاور بينك وبين الطبيب لضمان أفضل نتيجة جمالية.
هل يمكن اختيار شكل محدد للأسنان؟
نعم، وهذا ما يميز تقنية تصميم الابتسامة الرقمي لدينا. يمكنك اختيار شكل الأسنان (سواء كانت دائرية، مربعة، أو بيضاوية) بما يتناسب مع شكل وجهك وابتسامتك، ونقوم بعرض النتيجة المتوقعة لك قبل البدء بالتنفيذ.
هل يحتاج الفينير إلى سحب عصب الأسنان؟
في الحالات الطبيعية، لا يحتاج الفينير نهائياً لسحب العصب؛ لأن البرد يكون سطحياً وفي طبقة المينا فقط. سحب العصب يتم فقط في حالات خاصة جداً إذا كانت السن تعاني من مشاكل طبية سابقة أو تسوسات عميقة.
ابدأ رحلة التغيير مع “شام للسياحة العلاجية” في سوريا
في الختام، يظل قرار إجراء فينير الأسنان في سوريا هو الاستثمار الأمثل لكل من يبحث عن الجمال والجودة والتوفير في آن واحد. فمن خلال دمج الخبرة الطبية السورية العريقة مع أحدث تقنيات تجميل الأسنان العالمية، نضمن لك الحصول على “ابتسامة العمر” التي طالما حلمت بها.
نحن في شام للسياحة العلاجية في سوريا، ندرك أن استفسارك حول كم تكلفة فينير الأسنان في سوريا هو الخطوة الأولى في رحلتك؛ لذا نلتزم بتقديم أدق التفاصيل حول أسعار الفينير في سوريا بكل شفافية، مع توضيح الفوارق بين الأنواع لضمان اختيار ما يناسبك. سواء كنت تبحث عن تكلفة أسنان الفينير في سوريا للعدسات الثابتة فائقة الجودة، أو تود الاستفسار عن تكلفة الفينير المتحرك في سوريا كحل سريع، فإن فريقنا المتخصص يرافقك من لحظة الاستشارة وحتى مغادرتك دمشق بابتسامة مشرقة.
لا تدع الحيرة تجاه اسعار الفينير في سوريا تمنعك من الحصول على الأفضل؛ فنحن هنا لنقدم لك خدمة (VIP) متكاملة تشمل الاستقبال، الإقامة، والمتابعة الطبية الدقيقة. تواصل معنا اليوم عبر الواتساب لتتعرف على عروضنا الحصرية لعام 2026، ودعنا نرسم لك ابتسامة هوليوود التي تليق بك.
“المحتوى الطبي تحت إشراف الدكتور [وسيم محمود طاوش]، اختصاصي طب أسنان.”


